赞!南医三院骨科专家带领我院骨科团队成功为高龄老人摘除腿部巨大肿物
↑ 点击上方
“郁南县人民医院订阅号”
关注我们
近期
在南方医科大学第三附属医院
(下称南医三院)
骨科长驻专家陆明博士带领下
我院骨科团队
为一名患巨大腿部肿瘤的老年患者
成功摘除肿瘤。
患者莫伯今年79岁,左大腿肿物已存在二十多年,期间一直未予重视及治疗。近期发现左大腿肿物逐渐增大至小皮球大小。曾多次到外院求医,但因患者年龄大、病程长、肿物过大、良恶性情况难以确定、手术难度大等原因,但都治疗未果。后其家属得知我院有南医三院骨科专家长期驻扎,遂抱着尝试的心态带他到我院骨科就诊。
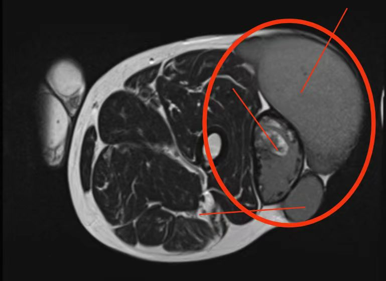
入院时莫伯左大腿肿物较大,约28*18cm,局部轻压痛,不排除恶变可能,需要尽快切出肿物检查。MRI检查提示左大腿肿物由几个小肿瘤聚在一起,相互粘连。考虑到患者年龄大,肿物也异常大,手术难度极大。面对患者目前状况,陆明博士带领骨科团队反复讨论及认真研究,最终为莫伯制定严密的手术方案。

MRI显示腿部肿瘤
在陆明博士的带领下,骨科团队对患者行肿瘤切除手术,手术历时不到1小时,彻底将患者腿部的巨大肿瘤切除。术后病理检测提示为良性肿瘤,但不排除恶变可能。尽早切除肿瘤可以避免错失治疗时间和肿物恶变。患者伤口愈合良好,术后3天可自行下地活动,1周后好转出院。


南方医科大学第三附属医院骨肿瘤科专家
郁南县人民医院骨科帮扶专家
主治医师 医学博士
骨与软组织各类良、恶性肿瘤及肿瘤样病变的诊治,恶性骨肿瘤规范化新辅助化疗,四肢恶性肿瘤切除保肢,人工假体重建,骨原发及转移性肿瘤微创治疗,脊柱原发及转移肿瘤的外科治疗等。
周二下午、周三全天、周四全天在门诊楼三楼骨科专家门诊坐诊

南方医科大学第三附属医院骨科专家
郁南县人民医院骨科帮扶专家
主治医师 医学博士
擅长四肢及关节创伤手术,严重足踝畸形的矫正,难治性糖尿病足的综合治疗,以及足踝部运动损伤的防治。

郁南县人民医院骨科专家
副院长
主任医师
从事骨科专业20余年。先后在广州南方医院、广州军区广州总医院、南医三院等全国知名骨科中心进修学习二年。曾在全国最大民营三甲医院--东莞康华医院脊柱关节外科工作多年,时任科室医疗组长。率先在云浮地区开展单侧双通道脊柱内镜技术(UBE/BESS)微创治疗腰椎间盘突出、腰椎管狭窄、腰椎不稳及相应的镜下腰椎融合技术。
熟练掌握四肢骨与关节的骨折脱位手法和内固定治疗。熟练开展胸腰椎骨折经皮固定及开放内固定,腰椎间盘突出症、腰椎管狭窄症、腰椎滑脱症手术治疗;颈椎骨折前后路固定,颈椎病的前路椎间融合、后路单开门椎管扩大成形;股骨头坏死终末期、股骨颈骨折行人工髋关节置换;膝关节骨性关节炎终末期、类风湿膝关节炎行人工膝关节置换;关节镜下行半月板缝合和膝关节前(后)交叉韧带断裂重建等治疗上积累了丰富的临床经验。
周四上午、周五上午在门诊楼三楼骨科专家门诊坐诊

郁南县人民医院骨科副主任
副主任医师
常见病、多发病的诊断治疗积累较多的经验。在四肢骨折,髋、膝关节置换,胸腰椎骨折,颈椎病、腰椎病引起的颈、腰腿疼痛,儿童骨折及各种关节疼痛等骨科疾病的诊治和手术有深入研究。
周一上午在门诊楼三楼骨科专家门诊坐诊
供稿:骨科 黄琪虎
编辑:宣传科 梁植源
一审:骨科 傅升培
二审:院办 唐国华









用户登录