ICU的第三只眼睛一郁南重症成功开展床旁超声监测
↑ 点击上方
“郁南县人民医院订阅号”
关注我们
一提起ICU,想必大家脑海里会浮现出这样一幅画面:病人身体上被插着各种管子、身旁堆积着各式仪器设备。
然而,大家对于各式各样的仪器设备又有多少了解呢?
“工欲善其事,必先利其器。”普通的心电监护、无创血压自不必说,今天我就为大家介绍属于我们重症医生特别的“眼睛”——重症超声。



▲上图为ICU邓石荣科主任正在给一位急性心力衰竭患者进行心脏超声检查


重症超声是在重症医学理论指导下,运用超声技术针对重症患者,以问题为导向、多目标整合的动态评估过程,是确定重症治疗,尤其是血流动力学治疗方向和指导精准化治疗的重要手段。总之,重症超声就是利用超声技术对患者身体各项指标进行评估,从而确定治疗方向的一种技术手段。
床旁超声是重症医生在接触重症病人时首先使用到的关键设备,因其具有多部位实时动态监测、无创安全、方便快捷的特点,备受重症医生青睐。在急危重患者的治疗和护理工作中发挥着不可忽视的作用,在循环治疗、呼吸治疗、营养支持、容量评估、血管评估、压力性损伤的评估与干预、判断胃残余量及评估膀胱容量等方面得到了广泛的应用,同时在院感防控中也起到了非常重要的作用。

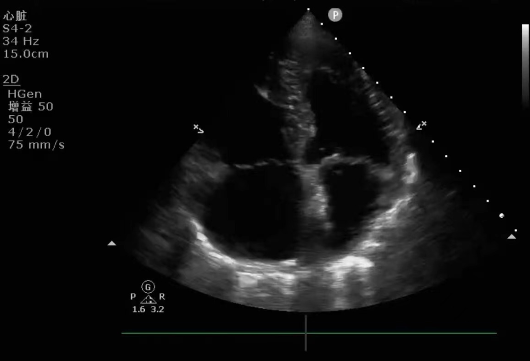
(心尖四腔心切面)

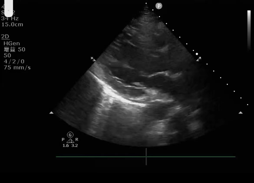
(左室长轴切面)



用它我们可以即时评估患者心、肺、肾、胃肠道、颅内等重要脏器功能和血流动力学状态,排除某些危险性疾病(如急性心包填塞、急性心内梗阻、急性肺栓塞、气胸、急性腹腔出血等),进行各种高难度的血管和体腔的穿刺等。在病人病情逐步稳定后,我们可以再次通过超声评估病人治疗后的反应、发现某些潜在的高危因素(如深静脉血栓、肺水肿形成等)。
由于重症病人往往存在多脏器障碍,具有以心肺为核心、恶性循环、急剧加重、全身炎症反应失控、全身性病理生理紊乱的特点。病人自我调节能力受限,这就意味着重症治疗容错空间小,治疗必须更精细、更符合病理生理需求,对重症医生来说是一大挑战,因此要求我们更深入、全面地掌握重症病人的身体状况。
通过重症超声,重症医生能快速发现病人当前急需解决的病理生理改变、量化血流动力学和脏器功能状态,进行规范和指导精细化的管理,从而为重症患者的诊疗创造时机,使我们更早更快的获得了精准的临床数据,为患者的治疗、护理提供临床依据,提高抢救成功率、缩短患者病程,减少了住院时间。
随着信息技术的不断发展,重症医生的“眼睛”会越来越多,但重症超声的作用始终是不可替代的。并且随着研究的深入,其重要性会愈发的凸显。因此,临床上合理、准确、即时地使用重症超声,对重症患者的评估和治疗有着极大的益处。




用户登录